Blogs

Home > Blogs

Blog News

Latest News From Us

Featured Posts

Scoliosis Treatment in Vizag: Consult the Best Spine Surgeon in Vizag for Lasting Relief

Scoliosis is a structural disorder in which the spine bends sideways instead of being straight. While the spine typically exhibits gentle front-to-back curves that help maintain balance and absorb...

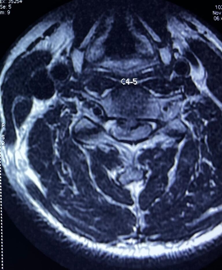
Unusual presentation of Cervical Myelopathy – A Journey from Wheelchair to Recovery

Unusual presentation of Cervical Myelopathy – A Journey from Wheelchair to Recovery Even a specialist doctor cannot choose the patients coming to him. Patients with symptoms totally unrelated to the...

What is Cervical Myelopathy?

What is Cervical Myelopathy? Literally cervical myelopathy means dysfunction of the spinal cord in the cervical region (neck). The dysfunction is due to compression of the spinal cord in the neck...

Slip Disc Treatment in Vizag – All you need to know

One of the most common back problems is a prolapsed or bulging intervertebral disc, which is normally called a “slipped disc.”  Intervertebral disc(IVD): The intervertebral disc is a...

Spinal Tuberculosis Treatment in Vizag

Despite what most people think, Spinal tuberculosis (TB) does not only affect the lungs. The most common type of TB is lung TB, but the infection can spread to almost any organ in the body, even the...

Understanding the Warning Signs of Serious Spine Problems

Back pain is a common complaint that affects people of all ages, but not all back pain is the same. While minor discomfort can often be resolved with rest or lifestyle changes, some symptoms may...
Spine Leela Logo

Dr. B. Leela Prasad is one of the country’s most renowned orthopedic doctors, with over 15 years of experience in the field. After earning his medical degree from Andhra Medical College, Visakhapatnam, he pursued post-graduation in Orthopedics at Guntur Medical College.

Visit Us at