Unusual presentation of Cervical Myelopathy – A Journey from Wheelchair to Recovery
Even a specialist doctor cannot choose the patients coming to him. Patients with symptoms totally unrelated to the specialty may visit the doctor with a lot of confidence and hope. In this context, let me narrate an interesting case.
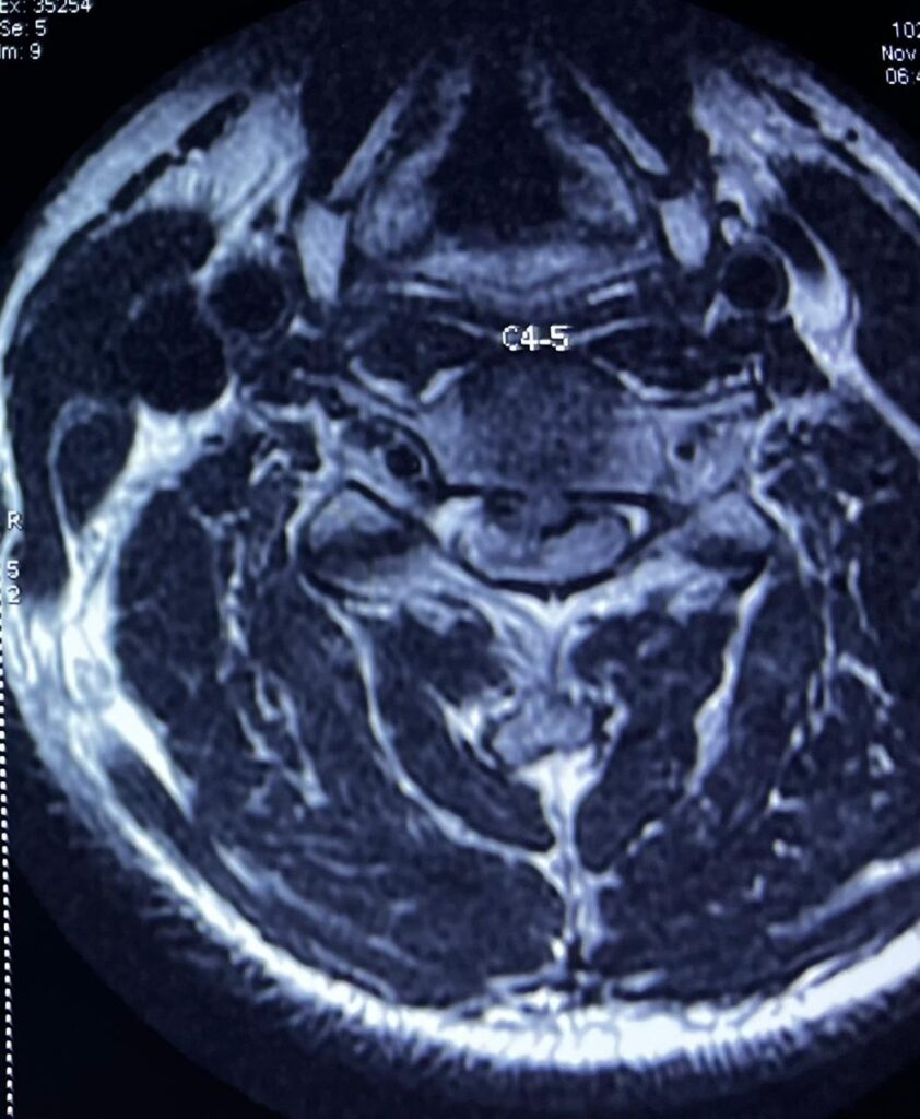
A 40-year-old gentleman from a neighboring state came down with paralysis of the right upper and lower limbs. His symptoms were worsening rapidly, and he became wheelchair-bound within a few days. As paralysis of one half of the body is very typical of a brain stroke, I was wondering why he decided to visit me and asked him to consult a neurophysician. He told me he had already consulted a neurophysician in his home town and he had no relief. An MRI of the brain was already done; it was normal. After careful clinical examination, I suspected a problem in the cervical spine and asked for an MRI scan of that region.


Diagnosis and Surgical Decision-
The scan showed disc prolapse at the C4-5 and C5-6 levels, with severe compression of the spinal cord. The paralysis of his right hand and leg was due to this compression. A diagnosis of cervical myelopathy was made , and as the patient was rapidly deteriorating, surgery was advised. The patient was taken up for surgery after a detailed discussion with his family regarding the risks, benefits, and possible outcomes. Surgery (Anterior Cervical Discectomy and Fusion (ACDF)) was done at the C4-5 and C5-6 levels.
The surgery involved approaching the spine from the front (anterior), removing the discs at C4-5 & C5-6 (discectomy), thereby relieving the pressure on the spinal cord, and placing a bone graft in the empty disc spaces (fusion) and fixing them with a titanium plate and screws.

Postoperative Recovery and Progress –
Surgery was uneventful. He started showing signs of improvement almost immediately after the surgery; he was discharged within 3 days. The patient made steady progress and started to walk with support in a few weeks’ time.
After 9 months, follow-up X-rays and MRI scans showed good decompression of the spinal cord and fusion at both the C4-5 and C5-6 levels. His paralysis recovered completely; he is able to walk, squat, and get up without any support. He is back to his work and is even able to do what he likes most: biking.

This case underlines the importance of meticulous examination of every patient to make a correct diagnosis.
Understanding Cervical Myelopathy
Cervical myelopathy is a disorder due to physical compression of the spinal cord in the cervical region (neck). This compression can result from various causes, the commonest being age-related degenerative (wear & tear) changes, followed by disc herniations, spinal canal stenosis, spinal infections, tumors, or injuries.
Though cervical myelopathy can affect anyone at any age, it’s more common among males and the elderly.
Symptoms of cervical myelopathy
In the early stages, symptoms are very subtle, like neck pain, feeling of heaviness and numbness in the legs and clumsiness of hands. These are usually mistaken for ‘general weakness’ by patients and sometimes by doctors as well.
In the later stages, slipping of footwear unknowingly , swaying while walking, feeling of tightness of legs, loss of balance on closing eyes, and difficulty in climbing stairs and stepping into vehicles are the common symptoms in the legs. Patients will not be able to perform activities involving fine motor skills and coordination of hands like buttoning and unbuttoning shirts, operating mobile phones, counting currency notes, and writing.
In the advanced stages, patients may be unable to walk without support and unable to firmly grasp objects in the hand. The hands become deformed, and they may not be able to feed themselves, brush their teeth, or clean themselves.
Finally , the legs become paralyzed, and patients become bedridden; they may lose control in passing urine and motion.
Why is early diagnosis intervention critical?
Delay in diagnosis allows the disease to progress; the neural tissues of the spinal cord may be permanently damaged.
Early diagnosis and intervention at the appropriate time is crucial for good functional recovery. Surgery in advanced stages only gives poor results

FAQs:
Q1) What is Cervical Myelopathy, and what causes it?
Cervical myelopathy is dysfunction of the spinal cord in the cervical region (neck).
Compression of the spinal cord in the neck area, commonly caused by disc prolapse, bone spurs, or spinal degeneration, results in cervical myelopathy.
Q2) How is Cervical Myelopathy diagnosed?
Cervical myelopathy is difficult to diagnose in the early stages. Only a thorough clinical history and physical examination combined with appropriate investigation will clinch the diagnosis. An MRI scan of the spine shows the extent and severity of compression. CT scans and X-rays provide additional information regarding the nature of compression and also help in planning the surgery.
Q3) What is the best way to treat cervical myelopathy?
Mild disease without any worsening or functional impairment can be managed non-surgically. However, they should be observed and examined at regular intervals for worsening. Nonsurgical options may include
- neck brace (cervical collar)
- physical therapy
- medications.
Surgery is recommended for all patients with functional impairment or worsening symptoms.
Q4) After surgery on the cervical spine, how long does it take to get better?
Recovery largely depends on the stage of the disease at the time of surgery. If operated on early, most patients can go back to work within a few weeks. Recovery also depends on the age of the patient, the number of levels involved, and the severity and nature of compression.
Q5) Why choose Amulya Hospital for Cervical Spine Surgery in Vizag?
Our state-of-the-art facilities, cutting-edge technology, and compassionate care create a warm and welcoming atmosphere. Our team of passionate and highly skilled doctors led by Dr. B. Leela Prasad is dedicated to providing personalised attention and expert care.

Leave a Reply